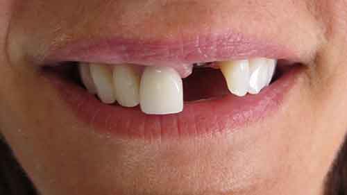
An implant and a crown can be used to replace a single missing tooth. Single dental implants look, feel and act as natural teeth.
When you're missing multiple teeth, you can replace it with multiple implant supported bridge for a natural-looking, decay-resistant and comfortable option.
One of the best option to replace all your teeth is to use an implant-retained denture. It provides relief and comfort and a more secure option over traditional dentures.
Monday: 9:30 AM – 5:30 PM
Tuesday: 9:30 AM – 6:00 PM
Wednesday: 11:00 AM – 7:00 PM
Thursday: 11:00 AM – 7:00 PM
Friday: Closed
Saturday: Closed
Sunday: 9:30 AM – 5:00 PM
Submit your details below and we will send you our membership options.
Enter Your Details Below: